What is a hip replacement?
The hip is made up of the ball at the top end of the thigh bone (femur) and the socket (acetabulum) of the pelvis that it sits in. Normally both the ball and socket are lined by smooth cartilage but when this wears out it the hip becomes stiff and painful. A hip replacement is an operation to replace the old worn out hip with a new artificial one.
Who needs a hip replacement?
A hip replacement is a very good form of treatment for people who have severe hip arthritis. Most people with hip arthritis feel pain in the groin, but sometimes it can be felt on the side (trochanter), buttock or even down the thigh to the knee. At first it is just a mild discomfort after exercise but when it is bad some people complain of constant, severe pain which is present when they rest and also wakes them up at night. In the early stages we normally treat hip arthritis with pain killers but when it gets severe and interferes with your quality of life it is a good time to discuss hip replacement with your surgeon.
The most common condition that leads to a hip replacement is osteoarthritis but other conditions include rheumatoid arthritis, avascular necrosis and after trauma to the hip.
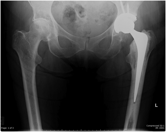
How is it performed?
The operation takes around 1 ½ hours to perform. A cut around 15-20 cm long is made and the old hip is cut out. The new hip replacement comprises two main parts. There is a stem or metal rod which sits inside the thigh bone (femur) and has a ball on the end of it. It is designed to either be cemented into place or have the bone grow onto it to hold it in place. The second part is a cup which sits in the pelvis. It can either be a piece of plastic cemented into place or a metal shell which is hit into place and allows bone to grow onto it. There are potential advantages and disadvantages of different sorts of hip prostheses (replacements). Your surgeon will discuss with you which one they think will be best for you.
How long will I be in hospital?
You will be in hospital as long as is needed. To be able to go home your pain will need to be controlled by tablets alone and you need to be safe getting around by yourself, normally on crutches. For a young adult this may only take a couple of days but for an elderly patient they may even require a couple of weeks at rehabilitation.
What happens after hospital?
When you leave hospital you will be given some written instructions on how to look after the wound and what medication to take. Normally you should keep the wound dry for two weeks and at this time will often have an appointment to check on the wound. At home you should continue to do the exercises that the physiotherapist taught you in hospital and it is a good idea to see your therapist to start a rehabilitation program. Most patients leave hospital with crutches to give them support but you are allowed and encouraged to put all your weight on your new hip. You will normally have some painkillers to take, and medication to try and prevent blood clots.
How long is the recovery?
Most people are on crutches for 2-4 weeks. You are unable to drive for 6 weeks. By 6 weeks some people can get back to desk work but it takes 3 months or longer to get back to more physical work. The muscles around the hip will continue to strengthen for 1-2 years following your surgery.
Are there any risks with hip replacement surgery?
A hip replacement is a big operation and this can cause a stress on the body.
The main arteries and nerves to the leg are close to where we operate and care needs to be taken to avoid these.
There is a small risk of infection and blood clots but medication will be given to try and reduce these risks.
A small percentage of people need a blood transfusion following surgery.
There is a small risk of the hip dislocating or popping out of the socket. The physiotherapist will teach you how to avoid this.
Sometimes the leg is a bit longer or shorter than the other side. It is very uncommon for the difference to be noticeable.
The hip replacement may wear out or need to be revised over time. The risk is about 6% over 10 years. This means that 94% are still functioning after 10 years.
Does hip replacement work?
Hip replacements can be a fantastic operation because they take away pain and allow you to return to the lifestyle you want to live. Research shows that 95% of people who have a hip replacement are happy or very happy with the result.
What is the best hip replacement to have?
The best hip replacement is the one that lasts the longest and keeps you pain free and allows you to return to all the activities that you want to do. At Melbourne Hip and Knee, our surgeons have trained in some of the best centers in the world for hip replacement, and are constantly working to provide our patients with the best possible hip replacement. We use prostheses and techniques that have the best track records.


