What is a realignment procedure?
Sometimes, early arthritis can be associated with a mild deformity around the knee. The person affected may be either bow-legged (varus) or knock-kneed (valgus). This deformity may increase the amount of force going through one part of the knee, contributing to the arthritic change. A realignment procedure aims to correct the deformity to reduce the force on the affected part of the joint. The two main types of realignment are a High Tibial Osteotomy (HTO) which is performed on the tibia (shin bone) and a Distal Femoral Osteotomy (DFO) which is performed on the femur (thigh bone).
Who is a realignment procedure suitable for?
Realignment procedures are usually performed on people in their 40s and 50s who have early arthritis that affects just one part of their knee. It is a good operation for people who have jobs involving heavy labour, as a knee joint replacement in this situation is likely to wear out quickly.
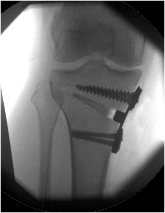
How is a realignment procedure performed?
The operation is performed under a general anaesthetic. An incision is made over the bone that is to be realigned. Then, a cut is made in the bone almost all the way through, leaving intact a small amount of bone that acts as a hinge. The bone is then carefully hinged open the appropriate amount and held in place by a plate and screws which are fixed into the bone.
The operation straightens the leg and may even overcorrect it so that a bow-legged knee ends up being slightly knock-kneed and vice versa. This reduces the force going through the worn out part of the knee and loads the normal part of the knee.
What is the recovery like?
After a realignment procedure, most patients would stay in hospital for two to three nights. You will be on crutches and be fitted with a hinged knee brace, but will be able to put some weight through the leg. Bending and straightening of the knee is encouraged. You will be allowed to put your full weight through the leg after six weeks. You will need at least two weeks off work and up to three months off for labour intensive jobs.
The plate can often irritate the soft tissue over it and usually it is removed about twelve months after the operation. This is usually done as a day procedure and you can walk on it immediately afterwards.
What are the long term results?
Lower limb realignment surgery is a good operation for younger, very active people who are not suitable for a knee replacement because of the higher chance of wearing the artificial joint out quickly. Usually, it significantly decreases the amount of pain around the knee but often does make it go away completely. Over years, the pain tends to gradually return as the underlying arthritis worsens. If it becomes severe, a knee replacement might be required at that stage.

