399 Riversdale Rd
Hawthorn East 3123
Tel:(03) 9882 7753
Fax:(03) 9882 6114
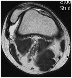
The knee joint is made up of the femur (thigh bone) on the tibia (shin bone) with the patella (knee cap) gliding over the end of the femur. Usually, the patella sits in the trochlear groove, which is a groove in the end of the femur. This forms the patellofemoral joint.
Dislocation of the patella occurs when the patella moves out of the patellofemoral groove. It is most commonly caused by a twisting injury or a direct blow to the knee. Factors that increase the chance of the patella dislocating include patella alta (when the patella is too high, bringing it out of the groove), trochlear dysplasia (in which the trochlear groove is shallow or domed the other way), weakness or abnormalities of the muscles that help to hold the patella in place and an abnormal alignment of the bones of the leg. When the patella dislocates, all of the soft tissue on the inner side of the patella is stretched or torn, including a ligament called the medial patellofemoral ligament (MPFL) which usually helps to hold the patella in. Up to half of people who dislocate their patella will have further dislocations. They may also feel that the patella is unstable, even if it does not completely dislocate.
The initial treatment includes RICE (rest, ice, compression and elevation) and painkillers as required. Physiotherapy is important because it helps to strengthen the muscles that stabilise the patella and regain range of movement. Braces can help to reduce pain but should be removed as soon as possible because they delay the rehabilitation and strengthening of the knee. After a first time dislocation, the chance of the knee cap dislocating again is up to 50%. If the patella is repeatedly dislocating or it feels very unstable, surgical treatment is recommended. Some of the surgical options include:

The choice of which procedure to perform is based on the specific abnormality that is causing the patella dislocations