Painful knee replacement

Contact Info

Melbourne Hip And Knee

399 Riversdale Rd
Hawthorn East 3123

Tel:(03) 9882 7753

Fax:(03) 9882 6114

 

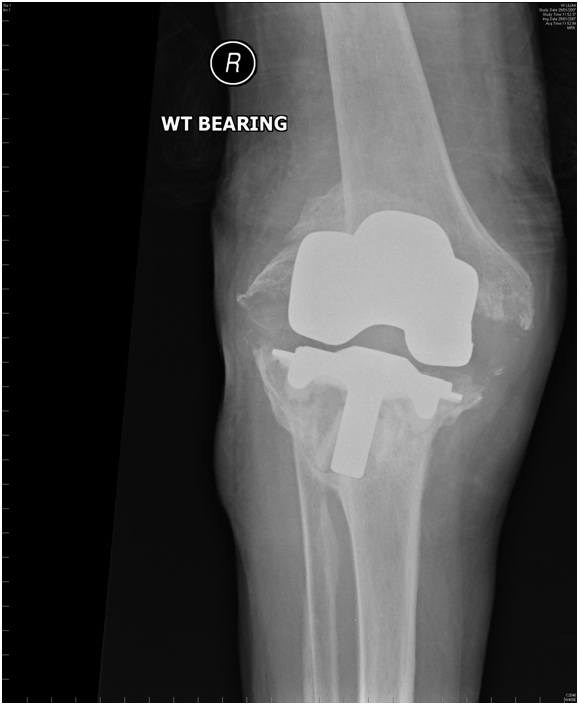
Total knee replacement is a good operation to relieve pain from arthritis, and most patients get lifelong relief of pain. However, some patients have pain even after a knee replacement, and some knee replacements become painful with time. Causes for painful knee replacement include:

  • Recovery – it often takes 6 months for pain to settle after successful knee replacement, and occasionally it takes 12-18 months. During this time, it is important to be patient, rest the knee when sore, carry on with exercises or physiotherapy as advised by your surgeon, and to use mild painkillers if necessary.
  • Infection – the infection rate is low (1%) but if the knee is infected it usually requires further surgery to clear the infection. However, there are many reasons for a knee replacement to be red or swollen, and only your surgeon will be able to tell you reliably whether there may be an infection.
  • Loosening or wear – with time a joint replacement may wear out or come loose. Your surgeon can to assess your knee together with an up-to-date Xray to determine if this has occurred.
  • Scar tissue – there are many tendons and ligaments around the knee. If these get caught up in scar tissue they may cause pain
  • Knee cap wear – if the patella (kneecap) was not resurfaced in the initial operation then occasionally it will develop arthritis and become painful. In this situation, re-operating to resurface the patella usually helps
  • Problems with the initial operation – occasionally a problem such as fracture or implant malposition will occur in the initial knee operation. This is more likely to happen if the surgeon is inexperienced or does not perform many knee replacements.

The Melbourne Hip and Knee surgeons have trained in some of the best centers in the world for knee replacement, and are experienced in assessing painful knee replacements, advising how to improve them and revising them if necessary.